医院动态
我院心血管内科与神内联手为卒中患者成功进行卵圆孔未闭封堵术

脑梗死,又称卒中,一般是老年人的多发病和常见病。近日心血管内科收住一位34岁青年卒中患者,该患者半年前突发右侧大脑额颞叶脑梗死,遗留左侧肢体活动不便,言语不利。该患者正直壮年,又没有高血压、糖尿病和高脂血症等卒中危险因素,为何早早患上了脑梗死?为了寻找卒中原因,患者慕名就诊我院神经内科,经过神经内科系统筛查,最终发现了导致他终身残疾的大隐患原来是他的心脏内分隔左右心房之间有一个孔道,即先天性卵圆孔未闭。
卵圆孔是心脏房间隔胚胎时期的一个生理性通道,允许脐静脉血从右房流入左房,维持胎儿血液循环。出生后5-7个月左右,多数人的卵圆孔闭合;但约25%-34%的成人卵圆窝部遗留一个永久性的裂缝样缺损,被称之为卵圆孔未闭(Patent Foramen Ovale, PFO)。在某些生理因素下,比如咳嗽、打喷嚏、憋气、如厕时用力、吹小号、潜水等,右心房压高于左心房时,会造成血液从右房向左房分流。由于PFO的分流量小,长期以来认为PFO不会造成临床后果。近年来,越来越多的研究表明,PFO患者发生卒中、偏头痛、外周动脉栓塞和减压病等风险较正常人群呈数倍升高,并且PFO与青年隐源性卒中关系密切。PFO引起卒中可能的机制与反常性栓塞有关,即右心及静脉系统的栓子在右心压力高于左心时,经过未闭的卵圆孔进入异常通路到达体循环动脉系统,造成脑、心、肾、脾或肠道等器官的缺血性梗死。对于PFO合并不明原因的脑栓塞发作时,为防止再发脑血管疾病,主要的预防措施包括药物治疗和介入封堵治疗。
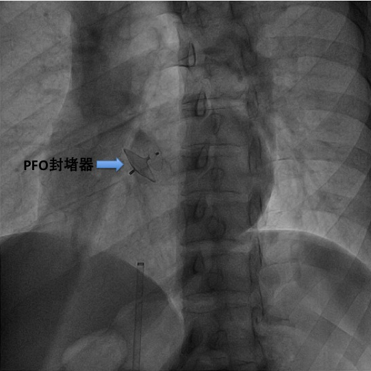
这位年青卒中患者经神经内科系统临床筛查,包括经颅多普勒发泡试验阳性,呈雨帘状;经食道超声提示卵圆孔未闭,直径1.9mm, 右心声学造影阳性,中等量右向左分流,神经内科会诊后认为该患者卒中与卵圆孔未闭有关,为了减少和防止卒中复发,建议进行卵圆孔未闭介入封堵治疗。心血管内科经过充分的术前论证和手术设计,心血管内科介入团队付强副主任医师于2015年5月14日为该患者成功实施了经导管卵圆孔未闭封堵术,术后患者恢复良好。
经导管卵圆孔未闭封堵术的优点:微创,不开刀,只需穿刺股静脉,30分钟完成手术;术后恢复快,2天出院;并发症少,安全性高;不需要体外循环,胸部无术后疤痕;目前使用的封堵器为镍钛记忆合金制成,无抗原性,在体内不会产生排异反应。(心血管内科付强 陈步星)
上一篇: 中美专科药师网络及现场培训在京举办
下一篇: 我院新址主体结构封顶 搬迁进入倒计时




















京公网安备111010602104056