科室介绍
神经外科肿瘤3病区
科室专业特色
神经肿瘤外科3病区以神经内镜技术的临床应用为特色,年神经内镜手术量超过1200例,神经内镜手术病例的种类和手术数量、质量均处于国内领先、国际先进水平。神经内镜技术是微侵袭神经外科核心技术之一,目的是以最小的创伤给予患者最好的疗效,手术方式是使用特殊的内镜器械,通过人体的自然孔隙或者微小创口完成高质量的手术操作。在学科带头人张亚卓教授和桂松柏主任的带领下,团队致力于神经内镜技术的创新发展,形成了具有自主技术特色的神经内镜技术创新团队,拥有李储忠、耿素民、赵澎、白吉伟、曹磊、刘春晖、朱海波、李振业等一批中青年骨干专家。同时病房还是中国医师协会神经内镜培训基地所在单位,积极开展垂体腺瘤临床诊疗技术和神经内镜技术的开发、培训与推广。
诊疗范围
神经外科肿瘤三病区在以下疾病的外科治疗领域具有明显技术优势。
一、内镜颅底外科
主要用于颅底中线区域病变的手术治疗,治疗疾病主要包括垂体瘤、脊索瘤、颅咽管瘤、颅底中线区域脑膜瘤、部分侧颅底病变、脑脊液漏以及其他颅内外沟通的颅底肿瘤。具有以下优点:(1)手术视角广,可显示手术显微镜所无法到达的盲区和死角,可以更好地在直视下分离肿瘤和正常神经组织、血管的界面,从而减少手术创伤,避免肿瘤残留;(2) 在较深的术野,神经内镜可以近距离观察病变,为深部术野提供更好的观察质量,分辨清晰度优于显微镜,可以更好地保护神经组织和血管;(3)充分利用鼻腔自然通道,手术创伤小。
1. 垂体瘤
目前,绝大多数垂体瘤首选内镜经鼻手术治疗。
 
 
图1. A-C 向蝶鞍下方发展的侵袭骨质的垂体腺瘤。A、C 术前、术后轴位T1增强MRI。B术中所见,向侧下方磨除被肿瘤侵袭的颈静脉结节骨质。D-L 广泛侵袭颅底的垂体腺瘤。D、F术前、术后1年矢状位T1增强MRI。E 术中骨窗显露范围。G 肿瘤切除后正常垂体予以保留。H 肿瘤切除后第三脑室开放。I肿瘤切除后显露额叶及前交通动脉复合体。K 斜坡后方肿瘤切除后显露脑干及桥前池。J、L术前、术后1年冠状位T1增强MRI。1斜坡;2右侧视神经管;3视神经管-颈内动脉隐窝;4蝶骨平台硬膜;5鞍结节硬膜;6 鞍底硬膜;7斜坡硬膜;8 斜坡旁段颈内动脉;9第三脑室;10 垂体柄;11额叶直回;12 前交通动脉复合体;13脑干;14基底动脉;15左侧外展神经。黄色箭头所示为被肿瘤侵袭的颈静脉结节;无尾黄色箭头所示为正常垂体。
2. 脊索瘤
目前,绝大多脊索瘤首选内镜经鼻手术治疗。
 
 
图2. A、B手术前增强磁共振,提示复发巨大全斜坡脊索瘤;C、D内镜经鼻手术后增强磁共振,提示肿瘤全切。
3. 颅咽管瘤
目前,绝大多数颅咽管瘤首选经鼻内镜手术切除。微创,反应轻微,对视力和内分泌损伤小,患者康复快。
  
 
图3. 六例实性侵袭第三脑室颅咽管瘤手术前、后的增强磁共振影像以及手术中截图,提示肿瘤全部切除,可以看到第三脑室后壁、室间孔和中脑导水管上口。
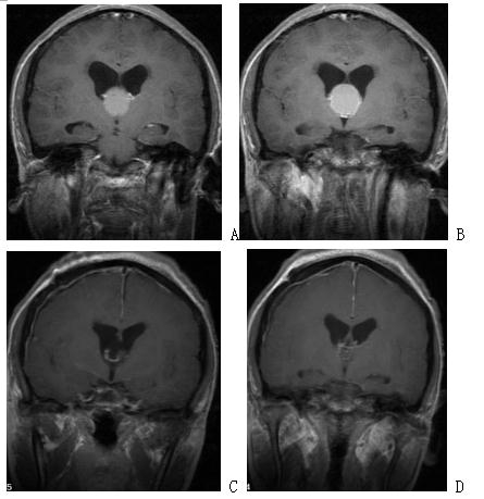
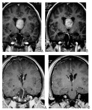
4. 鞍结节脑膜瘤
多数鞍结节脑膜瘤适合经鼻内镜手术切除。
 
 
图4. A、B手术前增强磁共振;C 手术中截图,提示肿瘤全部切除,可以看到垂体柄、视交叉和大脑前动脉;D、E内镜经鼻手术后磁共振,提示肿瘤全切。
二、内镜脑室脑池外科
目前内镜脑室脑池外科主要用于脑积水、颅内囊肿、脑室内肿瘤以及松果体区肿瘤的手术治疗。具有以下优点:(1)以微小的切口和颅骨钻孔治疗大脑中心部位的脑室和脑池疾病,创伤远远小于传统开颅手术;(2) 在大脑深处,依靠内镜的高分辨力,可以获得清晰放大的手术视野,使得手术更精细;(3)安全、可靠,病人恢复快。(4)避免了分流手术的诸多并发症。
1.脑积水(首选神经内镜手术治疗)
 
 
图5. A手术前磁共振图像;B 手术中截图,内镜下可见室间孔周围结构;C、D 三脑室底部及造瘘(瘘口下方可见基底动脉)
2. 侧裂囊肿(首选神经内镜手术治疗)
 
 
图6. A手术前磁共振图像;B 图示头皮切口;C 手术中截图,内镜下可见囊肿和基底池之间有3个可供选择的造瘘部位:动眼神经和小脑幕缘之间;动眼神经和颈内动脉之间;颈内动脉和视神经之间;D造瘘后可清晰见到下方基底动脉。a:小脑幕 b:颈内动脉 c:视神经 d:动眼神经
3.四叠体池囊肿(首选神经内镜手术治疗)
 
 
图7. A手术前磁共振图像,显示四叠体池蛛网膜囊肿向上突入侧脑室,箭头指示为第三脑室底部造瘘以及囊肿-侧脑室造瘘方向;B 手术中截图,内镜下可见四叠体池蛛网膜囊肿手术步骤。A:内镜进入侧脑室,下方双侧箭头指示突入侧脑室的囊肿顶部,上方箭头指示脉络丛;b:内镜进入第三脑室,右上方箭头指示第三脑室底,右下方箭头指示被牵拉伸长的中间块,左侧上方箭头指示被挤压闭合的导水管上口,左下方箭头指示突入第三脑室的囊肿壁;c:第三脑室底,上方箭头指示鞍背,下方箭头指示基底动脉;d:第三脑室底造瘘;e:第三脑室底造瘘后,上方箭头指示造瘘口,下方箭头指示突入第三脑室的囊肿壁;f:在突入侧脑室的囊肿顶部造瘘;g:箭头指示造瘘口部位;h:内镜经造瘘口进入囊肿内,可见下方小脑上表面。
4.鞍上池囊肿(首选神经内镜手术治疗)
 
 
图8.显示鞍上囊肿伴脑积水术中所见。A:鞍上囊肿顶部; B:囊肿顶部瘘口;C、D、E:通过顶部造瘘口进入囊肿内部,可见囊肿内部的解剖结构;F:囊肿底部基底动脉旁的裂隙活瓣;G、H:囊肿底壁造瘘;I:底部造瘘完毕,从侧脑室观察上方和下方的造瘘口。A:囊肿壁 b:鞍背 c:基底动脉 d:大脑后动脉 e:裂隙活瓣
5. 侧脑室肿瘤
 
图9. 内镜内技术切除侧脑室脉络丛乳头状瘤A、B:三角区脉络丛乳头状瘤手术前影像;C:术中见肿瘤以及供血动脉;D:电凝供血动脉; E:肿瘤完整全切后。
6.室间孔区肿瘤
 
 
图10. 经侧脑室额角-室间孔入路内镜下切除室间孔胶样囊肿术前、术后影像学表现。A、B:手术前影像;C、D:手术后影像,显示肿瘤全部切除。
7.侧脑室肿瘤
 
 
图11. 内镜经Endoport切除侧脑室三角区脑膜瘤。a-c 术前增强MRI可见左侧脑室三角区脑膜瘤。D逐渐扩张通道置入Endoport;e向前方探查确认肿瘤起源的脉络丛;f电灼肿瘤起源的脉络丛;g肿瘤质地硬韧,应用超吸快速减容;h肿瘤减容后探查肿瘤下极,电灼并切断与脉络丛的粘连;i肿瘤切除、创面止血后水环境下观察,可见向侧脑室颞角方向延伸的脉络丛;j向侧脑室房部延伸的脉络丛。j-l术后增强MRI可见肿瘤全切。箭头所示为肿瘤上方向侧脑室房部延伸的脉络丛;无尾箭头所示为肿瘤下方向侧脑室颞角延伸的脉络丛;1吸引器;2超吸刀头。
8. 内镜经Endoport切除侧脑室中央星形细胞瘤
 
图12. A、B术前影像;C、D术后影像。
三、内镜经颅外科
使用微小创口、镜外手术技术、外视镜技术切除脑实质肿瘤、镰旁脑膜瘤、表皮样囊肿等疾病。具有手术创伤小,患者恢复快等优点。
科研技术
团队自创立以来,围绕以下四大重点关键方向开展研究:1)垂体瘤发生、发展机制与现代诊疗方法的基础和临床研究;2)脊索瘤发生、发展机制与现代诊疗方法的基础和临床研究;3)颅咽管瘤和下丘脑区域的临床和基础研究。;申请并承担了国家重点专项、国家卫计委行业专项、重点攻关项目、国家自然科学基金、北京市重大科研项目以及各种省部级科研项目53项。拥有目前国内最大的垂体瘤和脊索瘤标本库和完善、全面、系统的垂体瘤、脊索瘤基础纵深研究体系。
获得荣誉
2021年,中华医学奖,三等奖
2012年,北京市科学技术奖,二等奖
2003年,北京市科技技术奖,三等奖
2002年,北京市科学技术进步奖,三等奖
2000年,北京市科学技术进步奖,二等奖
2004年,中华医学奖,三等奖
 
        
        
        
        
        
 


 
  
 












 
			  
			 


 
    
  
  
  
  
  
  
  
  
  
  
  
  
  
  
  
  
 
 京公网安备111010602104056
京公网安备111010602104056