我院骨科成功救治复杂脊柱骨折合并瘫痪青年

伤者术前X光片

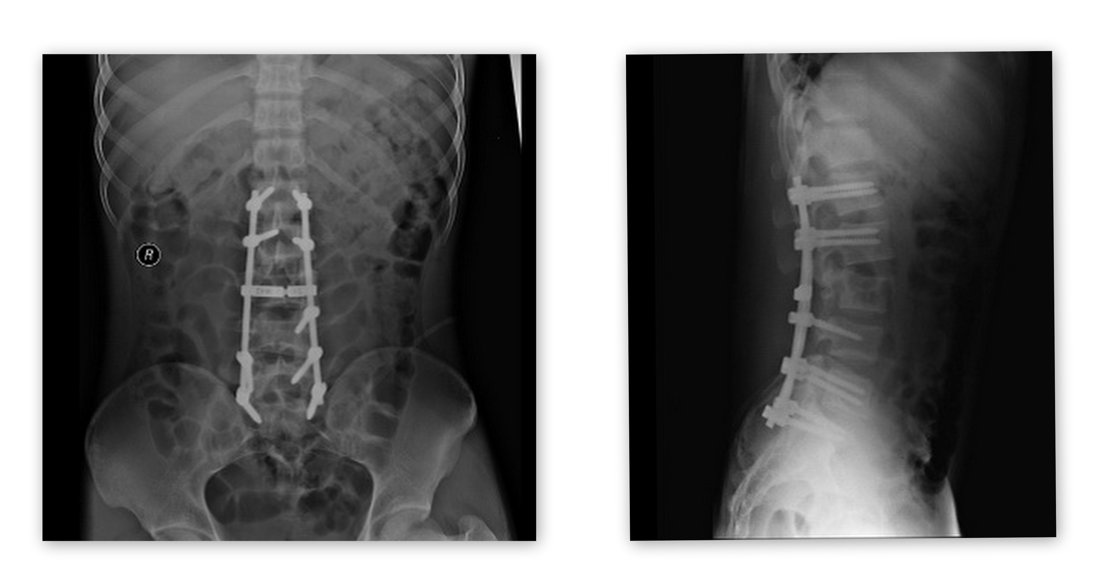
复位术后X光片
北京天坛医院骨科急诊日前成功为一位男青年完成复杂性脊柱骨折合并瘫痪手术。目前患者术后神经功能恢复较好,左小腿肌力为2级,右小腿为3级,自主排尿排便功能完全恢复,并于近日平安出院。
患者是一名民工,今年只有19岁。日前在天津静海县一工地施工中不慎从3米高的工地上坠落,导致严重腰椎骨折。入院时患者双下肢瘫痪,左小腿肌力0肌,右小腿肌力1肌。小便潴留需要下导尿管排尿。术前CT检查示 腰椎3.4椎体爆裂骨折,骨折碎片凸入椎管, 腰3椎板椎弓根骨折,腰4右侧椎弓根骨折。腰2椎体骨折椎板骨折,腰5椎板骨折。患者腰椎冠状位及矢状位脱位。骨科值班医生亢卫波,紧急安排患者做急诊住院相关检查。骨科副主任医师李家谋博士当晚查看病人,及时向科主任汇报了病情。
第二天上午,科主任刘宝戈组织相关医生仔细查看病人及相关影像,认为患者为严重的复杂性腰椎骨折,涉及多节段,且合并重度马尾神经损伤,必须及早实施手术治疗,以防止椎管内血肿上行,引起继发性脊髓损伤;同时手术可以解除马尾神经压迫,有利于下肢功能恢复,稳定脊柱,阻止损伤发展,保留排尿排便功能。经过仔细分析,专家们制定了手术方案。刘宝戈带领助手为患者实施了复杂的脊柱骨折合并瘫痪手术,经过5个小时的紧张奋战,手术顺利成功。
术后X线片复查显示,患者腰椎冠状位及矢状位的平衡恢复良好,腰椎骨折解剖复位。椎弓根钉置钉位置准确稳定。术后患者神经功能恢复很快,左小腿肌力2级右小腿3级,并恢复了自主排尿排便功能。(宣传中心 匡远深)




















京公网安备111010602104056