保健常识
比心肌梗死还凶险的胸痛----警惕“旋风杀手”主动脉夹层

手捂胸口,表情痛苦,这个在视影作品中常见的画面,成为了演绎心肌梗死发作的经典镜头。正因如此,很多人如果一旦发生胸部疼痛,就会一下子紧张起来,怀疑自己是不是得了心肌梗死。然而,大家不知道还有一类胸痛疾病比心肌梗死还要凶险,它就是----主动脉夹层。
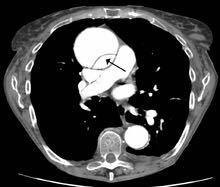
近期北京天坛医院心内科成功救治了一位主动脉夹层的患者,将患者从死亡线上挽救回来。故事要从老王半夜胸痛说起。老王,今年51岁,夜里十点钟洗澡后突发持续性胸背痛,大汗淋漓,坐立不安,家属立即把他送到北京天坛医院急诊。天坛医院心内科和急诊科联合成立的胸痛中心立即启动胸痛救治的绿色通道,由于老王心电图表现不是典型的心肌梗死图形,但又无法排出心肌梗死,心内科老王急诊行冠状动脉造影检查,但却未发现异常,排除了急性心肌梗死。老王怎么了?导致他剧烈胸痛的元凶到底是谁?北京天坛医院心内科胸痛中心小组人员经仔细询问和检查,发现了一个可疑的迹象,老王胸片的心影比一般人宽很多,于是及时为老王安排了血管增强CT的检查,经检查确诊为主动脉夹层,并急诊转心血管外科急诊手术治疗。由于救治及时,老王现已转危为安。那么,什么是主动脉夹层呢?
主动脉夹层被喻为"旋风杀手",之所以如此称呼是因为其发病凶险且迅猛,如不能及时准确治疗,病死率极高。此病起病即到高峰,但却不是不治之症,只要患者平日里重视预防就能远离生命危险。
主动脉夹层是什么病?为何如此危险?
主动脉夹层称做“灾难性疾病”。大家熟悉的美国女排运动员海曼和中国男排运动员朱刚都是因为这种疾病猝死。
主动脉夹层发病时就像一个被吹大的气球。当血液从裂口进入主动脉壁,把管壁中间的那层膜撕开、分裂、扩展,大量血液涌进去,又形成一个新的血管腔。当循环血液渗入主动脉夹层之内,只能流入不能正常流出,就会像吹气球一样,越"吹"越大,最终导致主动脉破裂,病人会在瞬间死亡。大多数的患者在病发前会感觉胸痛异常,烦躁不安、大汗淋漓、有濒死感,甚至因疼痛而昏厥。不过也有一部分患者病发时毫无预兆,一发病两三分钟内猝死,无法实施抢救。
被忽视的小习惯往往会成为导火线
一些日常生活中的不良习惯常是引起病发的主要诱因,比如提重物、剧烈运动、用力咳嗽、长时间熬夜等。疼痛常会在心前区、胸背部、腰背部或腹部产生,且疼痛感剧烈的令人难以忍受,犹如撕裂感,从胸骨后或胸背部沿主动脉向远端放射。需要警惕的是,有些患者在出现胸痛情况后并不重视,以为是心肌梗死或是心绞痛,即便就医也不做相关检查,等到病发时再去诊治已经无力回天。
主动脉夹层有哪些表现
1、胸痛:90%的这类病人会突发的胸、背或腹部剧烈疼痛。疼痛常在作某些突发动作时出现,如提重物、打篮球,甚至打哈欠、咳嗽、用力排便等。剧烈疼痛就像用刀划割一样,难以忍受。
2、高血压:病患者多数有高血压的基础,夹层形成后又会反过来进一步增高血压。
3、夹层破裂:破裂引起的大出血是夹层致死的主要原因。约有一半的患者在发病的急性期因破裂死亡。一旦破裂,除剧烈胸痛外,还有面色苍白、出冷汗、嘴唇发紫、呼吸困难,甚至有呕血,咯血。

如何诊断主动脉夹层?
1、胸片(CR):可看到主动脉球扩大、纵膈增宽,但不能作为确诊手段。
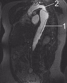
2、增强CT:常用手段。安全、简单、准确,有诊断和术前评估价值。
3、磁共振血管成像(MRA)也是诊断好方法,但测量血管内径上不够精确。
4、经食道超声(TEE)优点:安全、无创、灵敏性和特异性高,能准确、快速诊断。缺点:病情不稳定的患者无法完成该操作,不能观察腹主动脉。
5、数字减影血管造影(DSA)是诊断主动脉夹层的有效手段,但价格昂贵。
如何区别主动脉夹层与急性心肌梗死?
1、一般急性主动脉夹层的疼痛比急性心肌梗死更剧烈,持续时间更长。主动脉夹层疼痛发作开始时即达高峰,为撕裂样剧痛,部位更广泛,可濒及头颈、背部、腹部、腰部和下肢,常不能被止痛剂所缓解。急性心肌梗死疼痛一般逐渐增剧,呈钝痛或绞痛,有紧缩感,止痛或扩冠药物能减轻或缓解。
2、心肌梗死有典型心电图改变和血清酶活力增高,而主动脉夹层分离除少数侵及冠状动脉引起心肌梗死一般无特异心电图改变。
主动脉夹层预防比治疗更重要
1. 患有高血压的中年男子是此类疾病的高发人群,平日里一定要注意控制好血压,一旦出现胸痛现象需要立即到医院做检查。
2.虽然主动脉夹层可以动过手术治疗,但是相对风险高,因此专家建议还是应以预防为主,同时形成健康的生活方式。每年做一次腹部B超检查,大于60岁的人应该同时查一下胸腔、腹腔的主动脉情况。
主动脉夹层病人在生活上需要注意什么?
1. 控制血压及心率:遵医嘱规律口服降压药物,将血压控制在正常范围内(收缩压不高于140mmHg,舒张压不高于90mmHg),尤其避免血压波动.心率控制在80次/分以内。
2. 改善生活方式:适量运动锻炼,避免剧烈运动;低盐低脂清淡饮食,多吃蔬果;戒烟限酒;免情绪激动,保持心理平衡。
3. 积极控制血脂、血糖。
4. 定期随访:定期找专业医生做血管超声或CTA检查。
最后,北京天坛医院心内科提醒大家:除了急性心肌梗死,主动脉夹层也会引起急性胸痛,它就像人体内的“定时炸弹”,随时会威胁人们的生命安全,大家应给予足够重视,出现持续胸痛请及时到医院就诊。
上一篇: 科学认识多发性硬化
下一篇: 打呼噜也能引起高血压




















京公网安备111010602104056