科室动态
无声沟通 用心陪伴
2022年3月,聋哑患者程某某怀着忐忑的心情来到了首都医科大学附属北京天坛医院超声科,患者甲状腺有多发结节且因左叶结节较大,时常感到颈部有压迫感,但因害怕手术切除的风险迟迟未做处理,对患者造成了长期的困扰。超声科主任何文了解到患者的特殊情况后,经过讨论决定对患者进行超声引导下的微波消融治疗。
经过与患者耐心的沟通,患者决定尝试这种微创治疗方法来解决长期以来的困扰。术前患者由于对手术的未知而情绪紧张、心率加快,血压一度高达170/100mmHg,为缓解患者的紧张情绪,超声科副主任张巍多次通过手机提示患者如何配合检查与治疗,充分缓解了患者的焦虑及恐惧,最终成功完成手术。告知患者手术成功后,患者对超声科介入团队的工作表示充分的认可,并通过手语向医务人员们表示了感激之情。
微波消融技术通过超声的实时引导下将微波消融针经皮精准插入到甲状腺结节内,通过针尖发热杀死肿瘤细胞,使结节发生凝固坏死,进而使结节不断缩小甚至消失。这种治疗方法相较传统外科手术切除方式而言,时间短、创伤小、恢复快,仅需门诊手术无需住院,而且不影响甲状腺功能,术后不用服药。对于生长过快、过大造成压迫症状的结节、甲状腺外科手术后复发或残余结节,甚至一些甲状腺微小癌都可以采取微波消融治疗。
据悉,北京天坛医院超声科介入团队在何文主任的带领下近年来完成甲状腺结节、乳腺结节、子宫肌瘤、子宫腺肌症、肝癌等微波消融治疗近千例,具有丰富的临床经验,一直致力于为患者排忧解难,切实为人民群众的健康保驾护航。

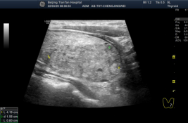
图 术前超声显示甲状腺左叶结节体积过大挤压气管

图 术前及术中张巍主任多次通过手机提示患者如何配合检查与治疗

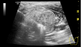
图 超声引导下甲状腺左叶实性结节穿刺活检+微波消融治疗

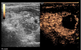
图 术后复查超声及超声造影,超声显示术区及其周围未见出血,甲状腺左叶实性结节呈消融术后改变




















京公网安备111010602104056