医院动态
北京天坛医院心脏及大血管病中心救治一名主动脉夹层患者
看到病房里身材魁梧挺拔的侯先生,听到他爽朗的笑声,很难想象数天前他几乎在生死关头转了一圈。在北京天坛医院医护人员全力救治下,突发主动脉夹层的侯先生转危为安。
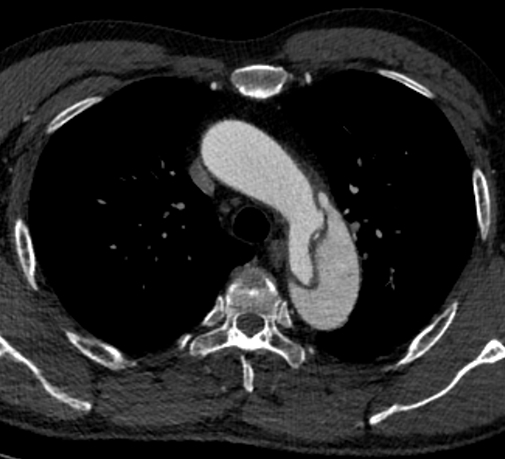
不久前的一天,北京天坛医院心脏及大血管病中心电话铃骤然响起,来电显示是急诊胸痛中心的电话:“患者背部撕裂样剧痛1小时,CTA提示主动脉夹层,请心外科紧急会诊。”正在值班的刘扬内心一紧,打开影像系统,诊断显示为急性B型主动脉夹层,这意味着患者的生命可能危在旦夕。放下电话,刘扬火速赶往急诊。


到了急诊,刘扬向患者侯先生介绍了病情,与家属沟通后,马上向心血管外科主任徐东汇报。徐东建议立即把患者收到心脏重症监护室,严密监测,绝对卧床,严格控制血压心率,积极镇痛。
“急性主动脉夹层是死亡率非常高的疾病,A型主动脉夹层发病48小时内的死亡率在50%左右,一周后死亡率达到80%,如果主动脉突发破裂,基本没有抢救的时间和机会。B型主动脉夹层的死亡率相对较低,需保守治疗两周后介入手术治疗效果最佳,太早主动脉急性水肿未消容易出现新发破口,太晚则假腔血栓化。”徐东叮嘱,患者病情十分凶险,严格控制病情进展,如有病情变化,随时调整治疗策略。
侯先生入院以来,心脏及大血管病中心徐东主任团队为患者开始了紧张有序地治疗。前几日,团队为侯先生行“胸主动脉覆膜支架腔内隔绝术”治疗,经过团队的全力奋战,手术成功,目前侯先生恢复良好。复查结果显示主动脉夹层近端破口封堵完全,效果良好。
出院前,侯先生见到徐东激动地说:“您的团队都是训练有素、专业极强的标兵!”




















京公网安备111010602104056