医院动态
罕见心肺“双重短路”致头痛,微创“一站封堵”除病根 ——北京天坛医院完成首例肺动静脉瘘合并卵圆孔未闭“一站式”介入治疗

首都医科大学附属北京天坛医院心脏及大血管病中心日前成功为一名患有罕见的肺动静脉瘘合并卵圆孔未闭的患者实施“一站式”介入封堵治疗,一次性解决了心肺两处结构异常,精准去除了引发患者顽固性偏头痛及潜在脑卒中风险的“病根”。据悉,这是北京天坛医院完成的首例此类手术。
北京天坛医院心内科副主任(主持工作)闫朝武介绍,患者是一名22岁的青年女性,因为长年反复发作但不明原因的偏头痛,到北京天坛医院脑心共患病联合门诊就诊。“通过常规的检查,确实无法判断出造成她长年偏头痛的原因,但初步判断并非是因为脑血管疾病等颅内原因导致的。”闫朝武介绍,专家团队随即调整策略,通过经食道超声心动图和肺血管增强CTA等影像学检查评估,证实头痛根源并非来自颅内,而在于心肺血管——患者同时存在肺部的肺动静脉瘘与心脏的卵圆孔未闭。



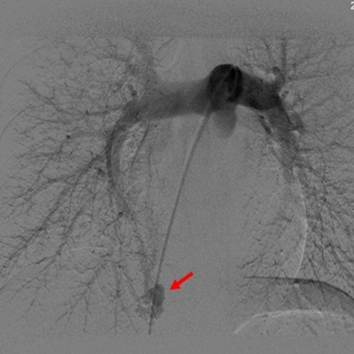
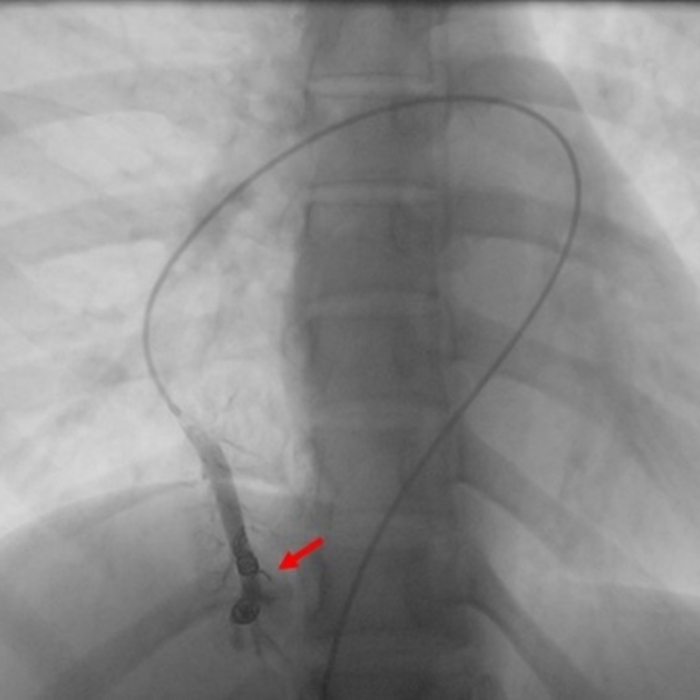
闫朝武介绍,肺动静脉瘘是一种罕见的肺血管畸形,发病率仅0.02-0.07%,其存在会明显增加脑卒中的发生风险;而卵圆孔未闭则属常见先天性心脏结构异常,人群发生率约25%。二者并存的情况极为罕见,将可能形成心肺之间的双重“短路”,极大增加顽固性偏头痛及心源性脑卒中的发生风险:一方面,静脉系统的微小血栓或血管活性物质可借肺动静脉瘘和未闭合的卵圆孔绕开双肺过滤,直接进入左心;另一方面,病变局部也可能形成原位血栓并发生脱落流向左心。这些血栓最终随体循环动脉血流进入颅内,微小血栓可诱发顽固性偏头痛,而较大血栓则易导致脑卒中。
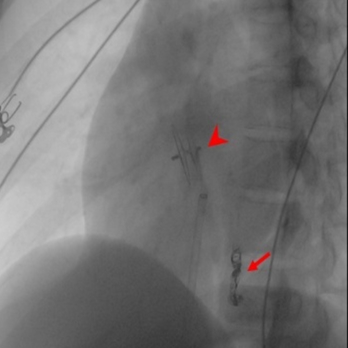
针对患者的情况,闫朝武带领柳昂、齐晨医师,在充分评估病变特征和手术路径的基础上,决定采用同步封堵的策略。术中,团队凭借娴熟的介入技术,通过微创穿刺,精准地将导丝和导管分别送至两处病变位置,并顺利实施封堵。术后即刻复查造影显示,封堵器形态良好、位置稳定,异常分流消失。患者术后恢复良好,头痛症状完全消失。
“过去这类患者常常辗转于神经内科与心脏内科之间,‘头痛医头’,却查不清病因。”闫朝武主任表示,“‘脑心共治’的核心在于追根溯源,关注的是患者的长远生活质量改善和卒中风险的降低。”他表示,这次手术的顺利实施,标志着医院在结构性心脏病相关脑卒中及偏头痛诊疗领域迈上新台阶。
据介绍,心脏及大血管病中心以“心脑共治”为特色,近期陆续开展卵圆孔未闭原位血栓检测及介入封堵、左房间隔囊袋介入清除术等多项创新技术,同时着力加强心房颤动射频消融、左心耳封堵预防脑卒中等技术。今后,该中心将持续致力于引进和探索前沿诊疗技术,为患者提供更精准、更优质的医疗服务。




















京公网安备111010602104056